当前位置: 首页 - 产品目录 - 外泌体(EVs)研究
支原体检测试剂盒(PCR法)
| 货号 | YW015 | 售价(元) | 询价 |
| 规格 | 10T | CAS号 |
- 产品简介
- 相关产品
产品信息
|
货号 |
产品名称 |
规格 |
|
YW015 |
支原体检测试剂盒(PCR法) |
10T |
|
YW015 |
支原体检测试剂盒(PCR法) |
20T |
产品简介
支原体检测试剂盒是利用PCR方法对支原体16SrRNA基因高度保守区域特异性片段进行扩增检测。其中使用的引物探针为特异性修饰的探针,具有高灵敏性和高特异性。该试剂盒可用于各种生物材料(如细胞培养基、实验动物分泌物、动物血清等)支原体感染的检测。
支原体检测试剂盒中所含的Mix能特异性扩增多种支原体16SrRNA基因片段,可以达到一次性检测多种支原体的目的。本试剂盒根据欧洲药典中对于生物制药生产过程中(参考资料:Europeanpharmacopoeia7.0,2.6.7.), 对于支原体的检测要求定制而成,与传统的选择性培养基培 养检测方法相比较,本方法更为快速,具有高灵敏性,高特异性和高性价比。不会由于培养法检测时大量培养支原体可能带来的次级污染的问题。
试剂盒组分
支原体检测试剂盒 (PCR法) (YW015)
|
编号 |
组分 |
规格 |
存储 |
|
YW015A |
PCR Master Mix |
300μl |
-20℃ |
|
YW015B |
Positive |
60μl |
-20℃ |
支原体检测试剂盒 (PCR法) (货号YW016)
|
编号 |
组分 |
规格 |
存储 |
|
YW016A |
PCR Master Mix |
2*300μl |
-20℃ |
|
YW016B |
Positive |
2*60μl |
-20℃ |
常见支原体种类:
|
支原体种类 |
中文名称 |
PCR条带大小 |
|
M.orale |
口腔支原体 |
462 bp |
|
M.hyorhinis |
猪鼻支原体 |
464 bp |
|
A.laidlawii |
莱氏无胆甾原体 |
438bp |
|
M.salivarium |
唾液支原体 |
466bp |
|
M.arginini |
精氨酸支原体 |
465bp |
|
M.fermentans |
发酵支原体 |
461bp |
|
M. hominis |
人型支原体 |
463bp |
|
M.pneumoniae |
肺炎支原体 |
470bp |
操作步骤
1. 待检样品,直接取5μL上清液作为PCR模板; (注:悬浮细胞需要1000rpm离心4min )
2.反应体系配置:
|
无菌水 |
18μL |
|
Master Mix |
27μL |
|
样品/对照 |
5μL |
3.PCR 反应程序:
|
95℃ |
3 min |
|
|
|
94℃ |
25 |
sec |
|
|
58℃ |
25 |
sec |
35-40 cycles |
|
72℃ |
30 |
sec |
|
|
72℃ |
5 min |
|
|
4. 取 1 0 μLPCR 扩增产物,使用1.2 %琼脂糖凝胶电泳检测 PCR 结果。
结果分析:
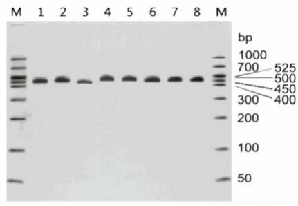
不同种类的支原体检测条带大小不同,下图列出了引起细胞污染的8大种类常见支原体,若PCR条带在400bp~600bp范围内,均可判断为支原体污染。也可将PCR产物进行TA克隆、测序进一步鉴定支原体的种类。
注意事项和免责说明:
本品仅限于专业人员的科学研究使用,不得用于临床诊断或治疗,不得用于食品或药品。
1.M.orale 2.M.hyorhinis 3.A.laidlawii 4.M.salivarium 5.M.arginini 6.M.fermentans 7.M.hominis
8.M.pneumoniae
相关产品:
|
货号 |
产品名称 |
规格 |
|
YW002 |
2ml |
|
|
YW005 |
1ml |
|
|
YW006 |
48T |
|
|
YW007 |
100 ug×1 |
|
|
YW009 |
20ug×5 |
|
|
YW011 |
96T |
|
|
YW012 |
5ml |
|
|
YW013 |
75um*20cm |
|
|
YW015 |
10T |
|
|
YW017 |
200ul |
|
|
YW019 |
500ul |
|
|
YW021 |
500ul |
|
|
YW023 |
Co-IP试剂盒 |
咨询 |
- 上一页: 支原体检测试剂盒(PCR法)
- 下一页: 磷酸肽蛋白(肽段)提取试剂盒